研究情報一覧

2006.10.17

◇ステロイド性骨粗しょう症の管理と治療のガイドライン


 骨粗しょう症の人が、日本には約1千万人いるといわれる。その大部分は加齢に伴うホルモンの変化などが原因で起こる。しかし1割程度はほかの病気や薬が原因で発生していると推定されている。骨粗しょう症の発症メカニズムを研究する大中佳三講師(老年医学)によると「薬の影響の中ではステロイド(グルココルチコイド)による骨粗しょう症が最も多い」という。日本骨代謝学会では2004年に「ステロイド性骨粗鬆症の管理と治療のガイドライン」を作成した。
 ステロイドは、炎症や免疫を抑えるので喘息(ぜんそく)・関節リウマチ・悪性腫瘍などに治療効果がある反面、長期大量に使用するとさまざまな副作用がみられる。一番多い副作用が骨粗しょう症だと分かってきた。アメリカでは1996年に、ステロイド性骨粗しょう症の管理指針が米国リウマチ学会によって作られた。
 日本の骨代謝学会ガイドラインによると、3ヶ月以上ステロイドを内服中か内服予定者で、①脆弱性骨折(けがなどによらない骨折)がある②骨折がなくても骨密度が若年成人平均(20-44歳)の80%未満③ステロイドを(プレドニゾロン換算で)1日平均5㎎以上服用している―のいずれかに該当する人には、骨吸収抑制剤(ビスフォスフォネート)による治療を勧めている。大中講師は「アメリカでは医療訴訟で、管理指針が判断に使われたと聞く。医師は十分にガイドラインを遵守して欲しい」と警告している。
 ステロイド性骨粗しょう症の発症メカニズムについて、大中講師が注目しているのは、骨形成を促進する遺伝子のひとつであるWnt。ステロイドが新しく骨を作る骨芽細胞で、Wntの作用を阻害するタンパク質 や酵素を活性化させて、Wntの働きを抑制する流れを、初めてつかんだ。「ステロイド性骨粗しょう症の発症予防につなげたい」という。

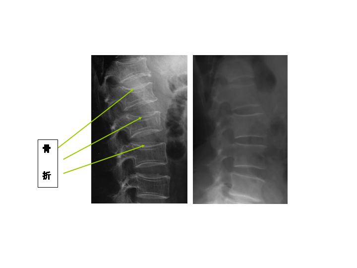
<写真説明>
脊椎X線写真:ステロイド性骨粗しょう症患者(左)と同年代の健常者(右)。左は脊椎の圧迫骨折による変形が見られる。

<参考論文>
Ohnaka K,Tanabe M,Kawate H,et al:Glucocorticoid suppresses the canonical Wnt signal in cultured human osteoblasts. Biochem Biophys Res Commun 329:177-181,2005.

ページのトップへ