2005.12.19
◇レジオネラ肺炎は文明病としての感染症 -- 貪食細胞内で増殖
発熱、寒気、筋肉痛などから「風邪かな」と思って数日で治るケース、さらに呼吸困難を訴えて急に肺炎を起こし、意識障害となり死亡するケース。平成14年7月に、宮崎県日向市の温泉施設で発生した事例は、300人近くが感染して、死者7人を出す国内最大、最悪のレジオネラ症集団感染となった。
医学研究院の吉田真一教授(細菌学)は、「レジオネラ症は文明病のひとつだ」という。土壌や沼・池などに広く生息するレジオネラ属菌は、自然界でヒトに感染することはまず無い。発生源はいずれも循環式の風呂、空調用冷却塔水、噴水など水の施設であって、レジオネラが水と一緒に霧のように浮遊しているところを、私たちが吸い込むことで体内に菌が入る。文明が生み出した感染症なのだ。
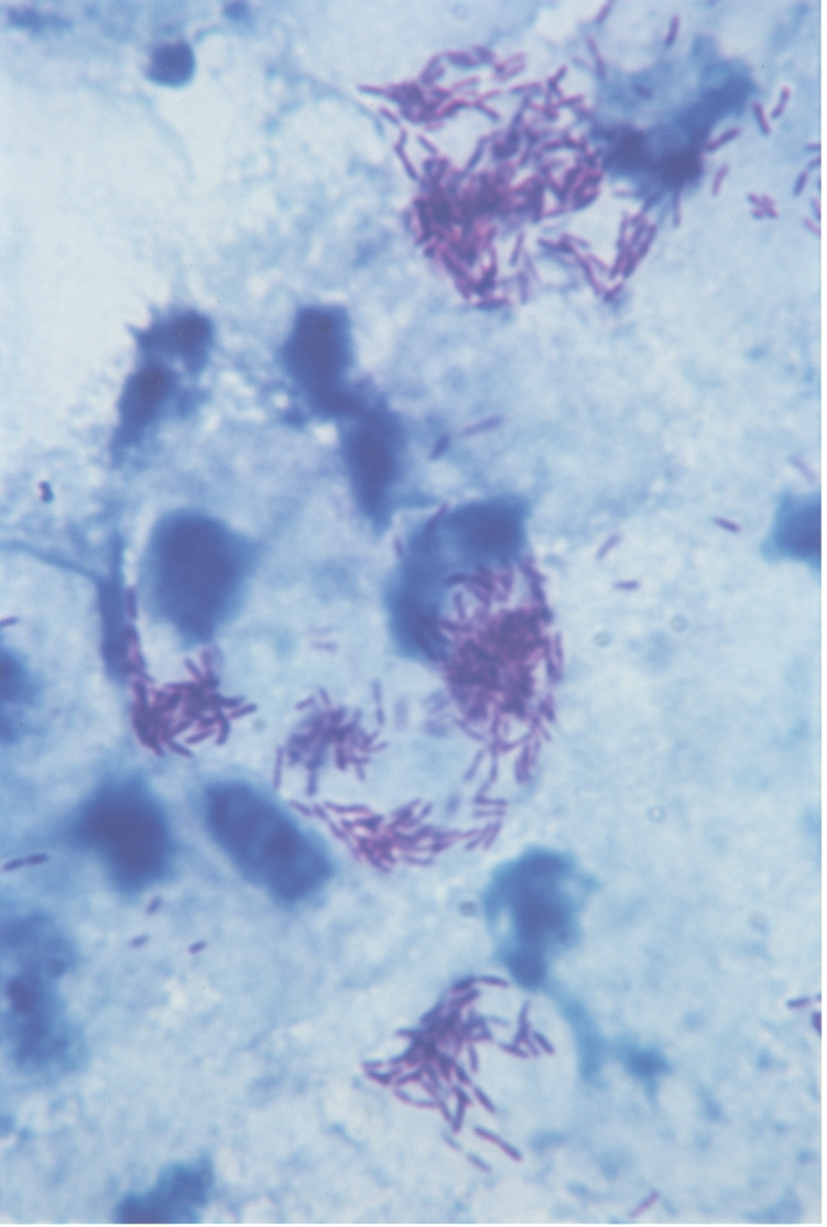
現在49菌種見つかり、内22菌種が人への病原性がある。この菌は、アメーバに食べられても、その中で繁殖する。また風呂などのヌルヌルしたところなどに見られる生物膜(バイオフィルム)を作って生息している。人には免疫があって肺胞のマクロファージという貪食細胞が、侵入した細菌を食べて感染を防いでくれるが、レジオネラは食べられてもその中に住みついて逆に相手を殺してしまう。
なぜレジオネラはマクロファージの中で増殖できるのか。吉田教授によると、最近その一部が解明されてきた。レジオネラは毒素を分泌する特殊な装置を持っている。細胞に食べられた後、この装置で細胞に毒素を注入することで、自分たちに好都合な環境いわば“新居”を、細胞側に準備させているということが分かってきた。
<写真説明>棒のように見えるのが、マクロファージの中で増殖しているレジオネラ。青色はマクロファージの核。(光学顕微鏡写真)
<研究論文>
Miyamoto H, Yoshida S, Taniguchi H, and Shuman HA: Virulence conversion of Legionella pneumophila by conjugal transfer of chromosomal DNA. J. Bacteriol. 185(22), 6712-6718, 2003.
